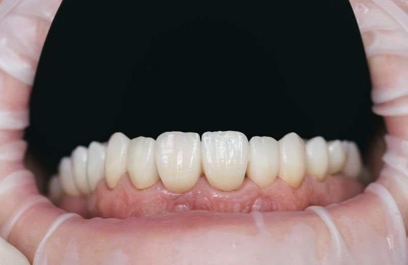
Zirkonium Kronen in der Türkei

Services/Zirkonium Kronen in der Türkei

Wann werden Zirkoniumkronen empfohlen?

Zirkonium kronen in der Türkei werden in folgenden Fällen empfohlen:

  • Bei stark beschädigten Zähnen: Wenn ein Zahn durch Karies oder Trauma stark beschädigt ist und eine Füllung nicht ausreicht, um die Struktur zu erhalten.
  • Für ästhetische Verbesserungen: Zirkonium kronen bieten eine hochwertige ästhetische Lösung, die sich ideal für die Frontzähne eignet, da sie das Licht ähnlich wie der natürliche Zahnschmelz reflektieren.
  • Bei Zahnverfärbungen: Für Zähne, die so stark verfärbt sind, dass Bleaching nicht wirksam ist, können Zirkonium kronen eine dauerhafte ästhetische Lösung bieten.
  • Nach einer Wurzelkanalbehandlung: Zähne, die einer Wurzelkanalbehandlung unterzogen wurden, sind oft schwächer und anfälliger für Brüche. Zirkonium kronen können diesen Zähnen zusätzliche Stärke verleihen.
  • Für Brückenersatz: Zirkonium wird auch für Brücken verwendet, um einen oder mehrere fehlende Zähne zu ersetzen, da es sowohl die nötige Stärke als auch eine natürliche Optik bietet.

Zirkonium kronen sind in der Türkei wegen ihrer Langlebigkeit, ihrer ausgezeichneten ästhetischen Eigenschaften und ihrer Biokompatibilität eine beliebte Wahl. Viele Patienten wählen die Türkei für solche Behandlungen aufgrund der Kombination aus hoher Qualität und kosten effektiven Preisen.

Wie fertigt man in der Türkei eine Zirkonium krone an?

In der Türkei wird die Anfertigung einer Zirkonium krone mit großer Sorgfalt und Präzision durchgeführt, um ein optimales Ergebnis zu erzielen. Zunächst wird der betroffene Zahn vom Zahnarzt vorbereitet, was in der Regel das Beschleifen des Zahnes umfasst, um Platz für die Krone zu schaffen. Danach wird ein genauer Abdruck des Zahnes genommen, der als Grundlage für die Herstellung der Zirkonium krone dient. Dieser Abdruck wird an ein zahntechnisches Labor geschickt, wo die Krone mithilfe modernster CAD/CAM-Technologie (Computer-Aided Design und Computer-Aided Manufacturing) individuell angefertigt wird.

Die Zirkonkrone in der Türkei zeichnet sich durch ihre hohe Passgenauigkeit und natürliche Ästhetik aus, da Zirkonium eine Farbe und Transluzenz aufweist, die den natürlichen Zähnen sehr ähnlich sind. Nach der Fertigstellung im Labor wird die Krone vom Zahnarzt angepasst und schließlich mit einem speziellen Klebstoff dauerhaft befestigt. Die Kombination aus erfahrenen Zahnärzten, fortschrittlicher Technologie und hochwertigen Materialien macht Zirkonium zähne in der Türkei zu einer beliebten Wahl für Patienten, die Wert auf Ästhetik und Langlebigkeit legen.

Warum sollten Sie Zirkonium kronen in der Türkei bekommen?

Die Entscheidung für Zirkon kronen in der Türkei bietet zahlreiche Vorteile. Erstens, die Zahnkliniken in der Türkei sind für ihre moderne Ausstattung und die Verwendung fortschrittlicher Technologien bekannt, die eine präzise und ästhetisch ansprechende Anfertigung von Zirkonkronen ermöglichen. Zweitens, die Zahnärzte in der Türkei verfügen über eine hohe Expertise und internationale Erfahrung im Bereich der kosmetischen Zahnheilkunde, insbesondere bei der Anwendung von Zirkon kronen.

Drittens, die Kosten für Zirkon kronen in der Türkei sind im Vergleich zu vielen anderen Ländern deutlich günstiger, ohne dass dabei Abstriche bei der Qualität gemacht werden müssen. Zudem bieten viele Kliniken umfassende Behandlungspakete an, die nicht nur die zahnmedizinische Behandlung, sondern auch Zusatzleistungen wie Unterkunft und Transfer umfassen können.

Wie lange hält eine Zirkonium krone?

Eine Zirkonium krone zeichnet sich durch ihre Langlebigkeit aus und kann bei richtiger Pflege und regelmäßigen zahnärztlichen Kontrollen zwischen 25 und 30 Jahren, manchmal sogar länger, halten. Die Lebensdauer einer Zirkonium krone hängt von verschiedenen Faktoren ab, wie der Mundhygiene des Patienten, den Essgewohnheiten und dem Vorhandensein von Bruxismus (Zähneknirschen). Regelmäßige Kontrollen beim Zahnarzt sind entscheidend, um die Integrität der Krone zu bewahren und ihre maximale Lebensdauer zu gewährleisten.

Was kosten Zirkonium kronen in der Türkei?

Die Preise für Zirkonium kronen in der Türkei variieren je nach Klinik, der Komplexität des Falles und den zusätzlichen zahnmedizinischen Behandlungen, die möglicherweise erforderlich sind. Generell bieten Zahnkliniken in der Türkei Zirkoniumkronen zu wesentlich günstigeren Preisen an als in vielen anderen Ländern, ohne dass dabei die Qualität der Behandlung oder des Materials beeinträchtigt wird. Diese Kosteneffizienz, gepaart mit der hohen Fachkompetenz der Zahnärzte und der Verwendung modernster Technologien, macht die Türkei zu einem attraktiven Ziel für Patienten, die nach hochwertigen Zirkoniumkronen suchen. 

Schneller Termin

[pafe-form id=“36211″]

Erhalten Ein Konstenloses Angebot

Bei medizinischen Fragen können Sie sich gerne an unseren internationalen Patientenkoordinator wenden.